【記者張原銘、張皓傑台中報導】院外寒流來襲冷颼颼,衛生福利部臺中醫院加護病房內卻洋溢著溫暖與感動。陳先生去年六月底因急性胰臟炎合併十二指腸穿孔,引發休克緊急送醫,歷經多次清創手術,反覆進出加護病房治療長達六個多月。在臺中醫院重症整合醫療團隊悉心照護下,病況終於趨於穩定。醫護人員特別選在他52歲生日當天,與家屬一同為他慶生,陳先生感動落淚,切下蛋糕並許下心願:「我要健康出院,回家團圓。」
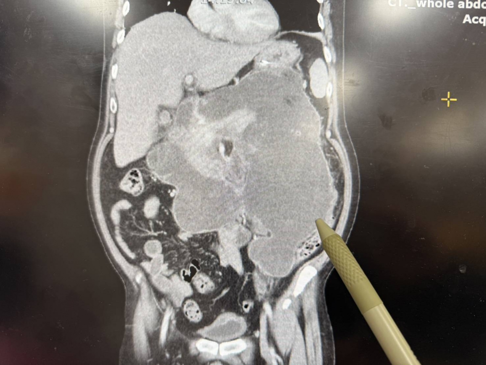
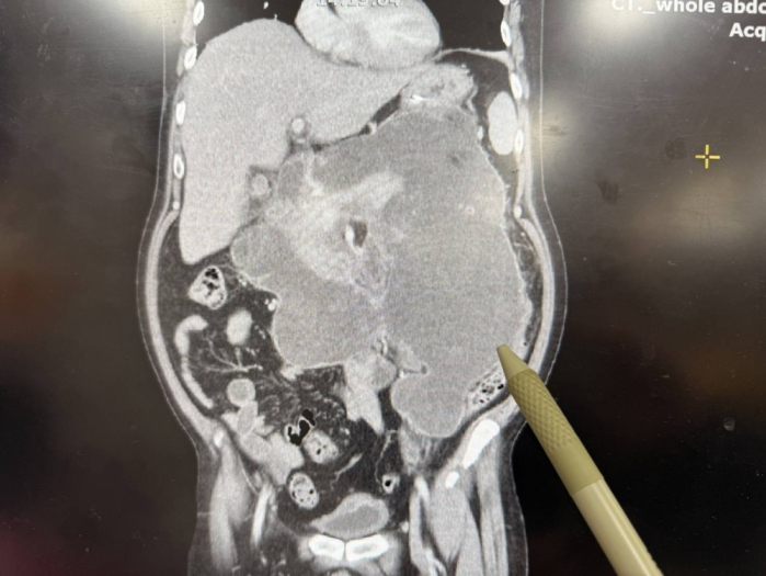
臺中醫院消化外科主任蔡金宏表示,陳先生於去年中因急性胰臟炎住院治療,期間併發十二指腸膿瘍及穿孔,病情相當危急。醫療團隊多次進行清創手術,並採取開放式引流治療,避免膽汁外漏引發急性腹膜炎與敗血症。同時整合開刀房、加護病房、呼吸照護病房、營養科與復健科等跨團隊資源,提供全方位重症照護,才得以讓患者關關難過關關過,預計下週可順利轉出加護病房。
蔡金宏主任指出,胰臟炎合併十二指腸穿孔屬於極嚴重併發症,存活率受多重因素影響。輕度胰臟炎存活率高,但重度胰臟炎死亡率可達四成,若出現嚴重併發症,死亡率甚至高達七成。他強調:「初期正確的治療決策非常關鍵,後續更仰賴重症照護團隊在營養補充與細心照顧上的通力合作,這絕非一人之力可以完成。」
陳先生表示,自己是川菜主廚,沒有高血壓或糖尿病病史,僅過去習慣與朋友聚會時飲用啤酒助興,一次可喝六瓶。考量健康因素,他在發病前已戒酒四年,未料去年六月底突然腹痛劇烈到無法呼吸,請鄰居協助叫救護車後便昏迷送醫,接連出現胰臟炎相關併發症。他感謝臺中醫院醫療團隊一路不離不棄,更在住院期間為他慶生,讓他除了驚喜,更滿懷感恩,「等我出院後,一定好好照顧自己,煮一桌拿手菜,親自感謝醫師與護理師。」
蔡金宏主任也提醒,胰臟炎常見病因包括膽結石、長期飲酒、代謝異常及部分藥物副作用。若出現上腹部疼痛、噁心嘔吐、食慾不振、發燒、腹瀉或腹脹等症狀,應提高警覺,儘速就醫,以免延誤治療導致嚴重併發症。









