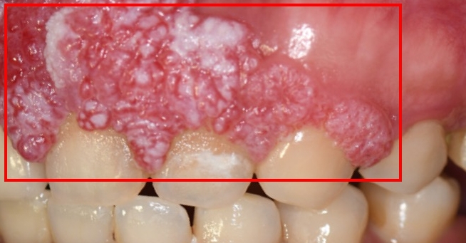
【記者張原銘、張皓傑台中報導】在台灣,口腔癌好發於長期抽菸、飲酒及嚼食檳榔的高風險族群,然而仍有部分患者並無上述習慣,因缺乏警覺而延誤就醫時機。口腔癌治療以手術為主,術後常因口腔結構受損,導致張口受限、吞嚥困難,或因牙齒拔除影響咀嚼功能,對患者的身體與心理皆造成重大衝擊。
40歲的許小姐於2024年前往中山醫學大學附設醫院(以下簡稱中山附醫)口腔顎面外科就醫,確診為上顎牙齦癌,須切除大範圍上顎骨,不僅影響外觀,口內鄰近腫瘤的10顆牙齒亦需一併拔除。醫療團隊於術前運用電腦數位模擬技術,精準規劃腫瘤切除範圍、術後牙齒重建位置,並模擬將植體植入顴骨,以彌補上顎骨缺損。
手術當日,由中山附醫口腔顎面外科邱昱瑋、陳怡孜及陳珮吟三位主治醫師組成的醫療團隊主導,結合電腦數位模擬、切割導版與電腦導航系統輔助,依序完成腫瘤切除範圍確認、術後牙齒排列模擬,以及顴骨植體植入定位。最終於同一日內一次完成上顎口腔癌腫瘤切除、頸部淋巴清除、顴骨植牙及游離皮瓣重建等複雜手術,大幅縮短整體治療時程,降低患者身體負擔。術後,許小姐已成功恢復正常咀嚼功能,生活品質明顯提升。
中山附醫口腔顎面外科自2018年起全面導入電腦數位模擬手術與精密導航技術,廣泛應用於顏面骨折外傷、正顎手術、腫瘤切除及重建等領域。透過術前精準規劃,不僅可減少手術傷口與誤差,也能提升手術安全性與準確度,協助患者同時重建外觀與功能,順利回歸正常生活。
邱昱瑋主治醫師也提醒,即使不抽菸、不喝酒、不嚼檳榔,仍有罹患口腔癌的可能。若民眾發現口腔內出現長期不癒的潰瘍、腫塊或不明原因疼痛,應及早就醫檢查,把握黃金治療時機。









