【記者張原銘、張皓傑台中報導】一名九個月大男嬰,因為高燒、活動力下降、呼吸喘就醫,結果發現竟感染「大魔王」肺炎鏈球菌,讓醫護與爸媽相當緊張;幸好家長及時送醫,加上男嬰公費跟自費預防重大併發症的疫苗都打好打滿形成防護網,力抗兇猛病菌,成功在住院十天抗生素治療後無併發症健康出院,讓醫護都說「有打疫苗有保庇」。
衛福部臺中醫院小兒科主任李德敏指出,男嬰到院時高燒39度,呼吸急促、活動力差,家長說因為夫妻兩人都上班,孩子平時在托嬰中心照顧,當天下課後就覺得孩子沒精神,當晚就發高燒,嚇得立刻到醫院就醫。
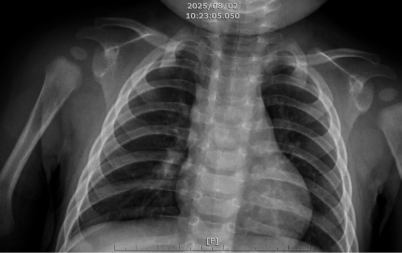
院方也不敢輕忽,針對症狀先排除黴漿菌感染,拍了胸部x光檢查,當時雙肺影像清澈,推論感染肺炎鏈球菌,擔心病菌兇猛又快速,收治住院治療。檢驗結果出來,男嬰果然感染病程快又猛、嚴重會併發肺炎、腦膜炎,致死率超過3成的「大魔王」血清型肺炎鏈球菌。
雖然家長從男嬰出生後就準時帶孩子接種公費肺炎鏈球菌疫苗,六個月時還自費追加一劑,另外也自費接種了呼吸道融合病毒與腸病毒七十一型疫苗,「疫苗打好打滿」。醫護不敢大意,緊盯十天抗生素治療療程病情變化,幸運的是,男嬰治療兩天後退燒且恢復活動,十天療程結束後就順利返家,讓醫護跟家屬都鬆了一口氣。
李德敏主任指出,時序進入秋冬,正是各類病毒、細菌蠢蠢欲動的季節,新冠肺炎疫情之後,所有病毒在秋冬季節依舊蠢蠢欲動,包括今年已經累計有15例腸病毒感染併發重症病例,重症數為近6年同期最高。
另外,流感、新冠肺炎、肺炎鏈球菌、黴漿菌等病毒或細菌,都對幼童造成健康威脅,推論還需要一到兩年才會稍微改善。 「準時並完整接種公費疫苗,是捍衛孩子健康最重要的武器!」
李德敏主任表示,目前疾病管制署有提供幼童從出生後到小學前定期施打疫苗的服務,提醒家長一定要依時程準時帶孩子接種公費疫苗,如果經濟許可,可再接種呼吸道融合病毒疫苗、腸病毒七十一型疫苗、最新的鼻吸式流感疫苗、以及追加六個月肺炎鏈球菌疫苗等,增強保護力。李主任提醒,目前大人們熱烈討論下個月起要「普發現金一萬」政策的同時,不妨考慮拿去幫孩子打疫苗,「把屬於孩子的一萬元,花在保護孩子的健康上!」
報社資訊
分享









